小金井市の武蔵小金井駅から歩いてすぐの歯医者・矯正歯科

〒184-0004 東京都小金井市本町5丁目23番11号
JR中央線「武蔵小金井駅」北口(nonowa EAST)出口より徒歩5分

診療時間
9:00~12:00
13:30~17:00

▲:8:30~12:00、*:13:30~17:30、◆:13:30~16:30
★:13:30~16:00(休診日:木曜・日曜・祝日)

火曜の15:00以降は訪問診療の時間になります。

症例のご紹介

症例紹介

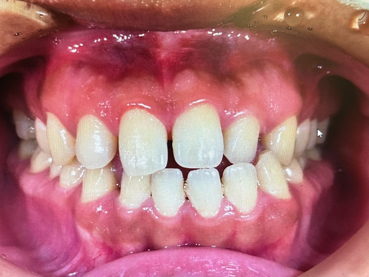
症例01:開咬(歯が噛み合わない)

Before

After

主訴
歯が噛み合わない
治療方法
ブラケット型の矯正装置(ワイヤー矯正)を用いた歯列矯正
治療期間
1年8ヶ月
​費用

検査代、保定装置代含め80万円(税抜)(88万円(税込))

リスク・副作用

・矯正期間中、装置があり歯磨きがしづらくなるためむし歯のリスクがあります。

・歯根吸収のリスクがあります。

院長コメント

矯正治療前、この方のお口は奥歯でしか咬めていませんでした。このような噛み合わせ・歯並びを開咬といいます。

開咬は、審美的な問題だけでなく顎関節症の原因になると言われています。また、80才で20本以上自分の歯がある人(8020達成者)の中には歯並びが開咬だった方ははいないと言われています。年齢を重ねて高齢になってくると自分の歯が残せない可能性もあるのです。


症例02:出っ歯・上顎前突

Before

After

主訴
前歯が出ている(出っ歯)
治療方法
ブラケット型の矯正装置(ワイヤー矯正)を用いた歯列矯正
治療期間
1年10ヶ月
​費用

検査代、保定装置代含め80万円(税抜)(88万円(税込))

​リスク・副作用

・矯正期間中、装置があり歯磨きがしづらくなるためむし歯のリスクがあります。

・歯根吸収のリスクがあります。

院長コメント

上の第一小臼歯のみを抜歯してスペースを作り、上顎の前歯を奥へ移動しました。口元がすっきりしました。

症例03:すきっ歯・空隙歯列

Before

After

主訴
隙間が開いている(出っ歯)
治療方法
ブラケット型の矯正装置(ワイヤー矯正)を用いた歯列矯正
治療期間
1年6ヶ月
​費用

検査代、保定装置代含め80万円(税抜)(88万円(税込))

​リスク・副作用

・矯正期間中、装置があり歯磨きがしづらくなるためむし歯のリスクがあります。

・歯根吸収のリスクがあります。    

症例04:すきっ歯・空隙歯列

Before

After

主訴
隙間が開いている(出っ歯)
治療方法
ブラケット型の矯正装置(ワイヤー矯正)を用いた歯列矯正
治療期間
1年6ヶ月
​費用

検査代、保定装置代含め80万円(税抜)(88万円(税込))

​リスク・副作用

・矯正期間中、装置があり歯磨きがしづらくなるためむし歯のリスクがあります。

・歯根吸収のリスクがあります。    

症例05:八重歯・叢生

Before

After

主訴
開咬あり、顎関節症もあった。
治療方法
ブラケット型の矯正装置(ワイヤー矯正)を用いた歯列矯正。非抜歯。
治療期間・治療後の状態について
3年3ヶ月  治療後、顎関節の症状も治った。
​費用

検査代、保定装置代含め80万円(税抜)(88万円(税込))

​リスク・副作用

・矯正期間中、装置があり歯磨きがしづらくなるためむし歯のリスクがあります。

・歯根吸収のリスクがあります。    

以下のページもご覧ください

矯正を担当する院長の経歴や、検査・シミュレーション・治療における当院のこだわり、対応可能なお支払方法などをご紹介いたします。

当院では矯正歯科治療でお悩みの方へ無料矯正相談を行っています。お電話かご予約フォームよりお気軽にご連絡ください。

042-384-3075

診療時間

 
午前
午後

午前:9:00~12:00
午後:13:30~17:00
▲:8:30~12:00
*:13:30~17:30
◆:13:30~16:30
★:13:30~16:00
火曜の15:00以降は訪問診療の時間になります。
休診日:木曜・日曜・祝日

042-384-3075

〒184-0004
東京都小金井市本町5-23-11

JR中央線「武蔵小金井駅」北口(nonowa EAST)出口より徒歩5分